전주신시가지치과, 치주 질환이 심하다면 최소침습으로
앞니는 심미적으로 매우 중요한 부위입니다. 정면에서 마주 보았을 때 바로 눈에 띄는 부위이므로 치아가 깨졌다거나 주변의 치아와 조화롭지 않다면 치료를 고려해 보는 것이 좋은데요, 크게 손상되거나 상실되면 임플란트를 통해 기능과 외형을 회복해 주어야 합니다.
하지만 앞니는 잇몸뼈 각도 상 임플란트가 비스듬하게 심어져야 해서 어금니보다 수술이 까다로워질 수 있습니다. 또한 잇몸뼈가 많이 녹은 경우에는 심미적인 만족도를 높이기 위해 한차례 이상 복잡한 골이식 수술을 하거나, 임플란트를 식립하더라도 옆 치아에 비해 길어져 보이는 것 때문에 환자의 만족도가 떨어지는 경우가 있어 차선책으로 브릿지를 하기도 합니다.


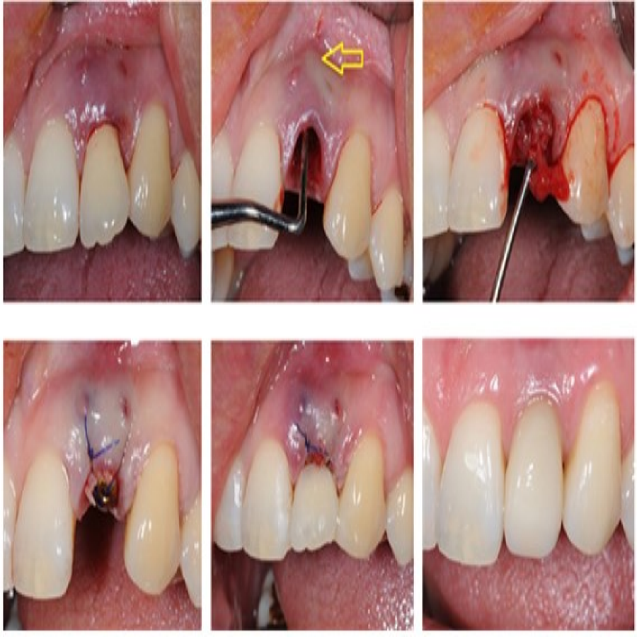
상기 환자분은 잇몸뼈가 많이 흡수되어 있었습니다. 일반적인 임플란트 식립법으로는 심하게 녹은 치조골 재생을 위해 발치 후 잇몸이 다 아물 때까지 기다린 후에 수술이 이루어져야 합니다.
이때 아문 잇몸을 절개한 후 뼈 이식과 다른 보조 재료도 함께 사용하기 때문에 잇몸을 늘리는 과정이 필연적이며, 그렇게 되면 수술 후에도 많은 통증과 붓기가 따를 수밖에 없습니다. 본원에서는 환자분의 불편함을 줄여드리고 만족도를 높이기 위해 최소침습으로 앞니 임플란트를 진행했습니다.

전치부(앞니)는 구치부(어금니)에 비해 잇몸뼈가 얇습니다. 때문에 치아 상실 후 잇몸뼈의 흡수도 빠르게 진행되는데요, 만약 앞니를 상실했다면, 잇몸뼈가 흡수되기 전 가급적 빨리 임플란트를 진행하는 것이 좋습니다.
하지만 앞니 임플란트는 어금니에 비해 더욱 꼼꼼한 진단이 필요합니다. 다른 치아에 비해 외부로 노출이 많은 특성으로 인해 자연스러운 심미성이 필수입니다. 따라서 식립하기 전 형태, 색상, 투명도, 질감 등을 고려하여 주변 치아와 잘 융화되도록 해야 합니다.

또한 성공적인 식립을 위해 환자의 구강 환경을 꼼꼼하게 파악하여야 합니다. 일반적으로 임플란트 식립은 발치 후 뼈 상태가 좋고, 치주염이 없을 때 가능하지만 전주신시가지치과 프라임에서는 심한 치주 질환이 있는 치아도 수술이 가능합니다.
앞서 말씀드린 것처럼 앞니 임플란트는 더욱 꼼꼼한 진단이 필요하며 의료진의 전문성과 풍부한 임상경험이 중요합니다. 앞니가 상실되어 임플란트를 고민 중이시라면 전주신시가지치과 프라임에 내원하셔서 상담을 받아보시길 바랍니다.

전주신시가지치과 프라임에서는 매직코어 최소침습 임플란트를 통한 임플란트로 어금니는 물론 앞니 역시 한 번의 수술로 기능성과 심미성을 높일 수 있습니다.
매직코어 임플란트는 지대주와 인공치근 부분이 일체형으로 형성되어 치조골 폭이 좁거나 상태가 좋지 않은 경우에도 골이식이나 골성형을 최소화하여 식립할 수 있는 최소침습용 임플란트 입니다. 매직코어는 식립 시 나사선 사이의 Interthread bone이 손상되지 않아 골 회복에 유리하고 최소침습으로 일반 임플란트 보다 골 유착이 유리합니다.

본원에서는 3D CT와 MEDIT i500, MDEITi700 구강 스캐너를 활용하여 환자분의 치조골 상태 및 안면 골격, 턱관절 및 해부학적 구조물의 위치 등을 정밀하게 파악 후 치료를 진행하고 있습니다.

프라임치과에서는 보철물 제작 시에도 3D 디지털 보철 시스템으로, 원내 자체 기공소를 운영하여 정밀 진단을 바탕으로 보철물을 신속하고 정밀하게 제작하여 치료 기간은 줄이고 만족도는 높일 수 있는 1:1 맞춤 보철물 제작을 진행하고 있습니다.
자체 기공소를 통해 환자와 의사, 기공사의 원활한 소통으로 개인별 1:1 맞춤 보철물 제작이 가능하며, 신속한 보철물 제작으로 치료 기간이 단축됩니다. 또한 환자의 치아 상태를 직접 보며 제작하므로 정밀도가 높고 모양과 색상 변경이 필요할 시 즉시 수정이 가능해 불편을 줄일 수 있습니다.

프라임치과의 대표원장님은 보건복지부 인증 통합치의학 전문의로 풍부한 임상경험과 실력을 겸비한 의료진입니다. 치과에 내원하신 환자분들께 적합한 치료 계획과 목표를 안내드리고 있으며, 세밀한 검진 후 치료를 진행하고 있습니다.
치과에서 사용하는 모든 의료 기구는 1인 1기구 사용을 원칙으로 하여 개별 포장, 멸균 처리를 하고 있습니다. 진료실 체어에서 사용하는 정수 또한 별도 소독을 거쳐 내원하신 환자분들이 안심하고 진료받으실 수 있도록 최선을 다하고 있습니다. 방문하시는 분들께서 항상 만족하실 수 있는 진료를 위해 더욱 노력하는 프라임치과가 되겠습니다.
*모든 증례 사진은 의료법 제23조, 제 56조에 의거하여 환자분의 동의 하에 업로드가 진행되었습니다.
*치료 사진은 모두 본원에서 치료한 환자분의 사진입니다.
*치료 사진은 모두 동일인의 사진이며, 동일조건에서 촬영하였습니다.
*개인의 차이에 따라 시술 및 수술 후 부작용이 발생할 수 있으며, 의료진과 충분한 상담을 받으시기 바랍니다.