전주신시가지치과 환하게 웃어요
사람의 외모는 첫 인상에 큰 영향을 미치며, 그 중에서도 치아, 특히 앞니의 상태가 중요한 역할을 합니다. 웃거나 대화 중에 눈에 가장 잘 띄는 부분이기 때문에 앞니의 형태와 색깔은 전반적인 인상을 결정짓는 데 큰 차이를 만들 수 있습니다.
심미적 측면 외에도 앞니는 기능적으로 음식을 먹을 때 음식물을 절단하고 올바른 발음을 하는 데에도 중요한 역할을 하므로, 손상이나 결손이 발생한 경우 가능한 한 빨리 치료를 받는 것이 좋습니다.

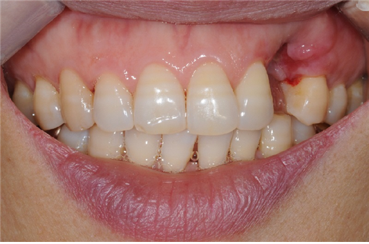
위 환자분은 타 치과에서 발치 후 어색해 보이지 않게 임플란트를 하고 싶다고 하시며 내원하셨습니다. 내원 당시 발치를 하고 잇몸 회복이 잘되지 않아서 잇몸이 위로 많이 올라간 상태였습니다. 발치 전 환자분의 치아 상태는 알 수 없었으나, 발치한 부위의 치조골 소실과 연조직 손상이 심했습니다.
이 상태로 바로 전주신시가지치과에서 앞니임플란트 식립을 하게 되면 치아머리 부분에 해당하는 보철물이 길게 제작되어 심미적으로 좋지 않은 결과가 예상되는 상황이었습니다. 본원에서는 뼈 이식 없이 이대로 치유 후 간단한 연조직 시술을 통한 최소침습 방법으로 전주신시가지치과에서 앞니임플란트 수술 계획을 세웠습니다.

발치 후 2개월이 지났고, 잇몸이 치유되어 임플란트를 안전하게 식립할 수 있었습니다. 전주신시가지치과의 앞니임플란트는 자연스러운 보철물 제작뿐만 아니라, 어금니 보다 더 정교한 처리가 필요합니다.

임플란트의 핵심 요소는 치아가 위치해야 할 영역에 올바른 위치와 깊이에 식립하는 것입니다. 특히 앞니의 경우, 바깥쪽으로 식립되면 잇몸이 높아져 검게 보일 수 있기 때문에 심미적인 측면에서 위치와 깊이가 매우 중요합니다.
수술 전 가이드 핀을 사용해 위치를 설정했습니다. 가이드 핀 없이 픽스처를 심으면 정확한 각도와 방향을 정할 수 없기 때문에 가이드 핀을 활용하면 임플란트 시술의 성공률을 높일 수 있습니다.

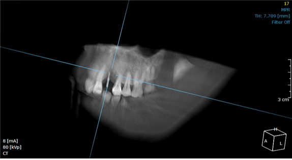
이후 CT 촬영을 통해 식립 위치와 각도가 정확한지 파악하여 안전하게 수술이 진행되었습니다. CT 촬영 결과에 따라 필요한 경우 가이드 핀의 위치와 각도를 수정하여 만족스러운 결과를 얻을 수 있습니다.

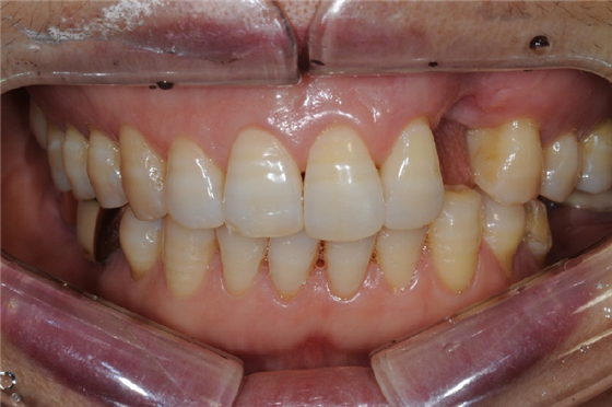
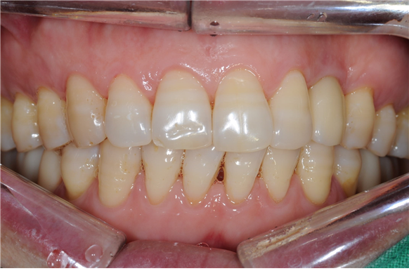
사진은 최종 치료 후 4년이 지났을 때 촬영된 사진입니다. 심미성과 기능성 모두 양호한 상태였습니다.
임플란트 수술 후에는 단단하거나 질긴 음식을 섭취할 때 앞니 사용을 자제하고, 임플란트 주위염을 막기 위해 규칙적이고 꼼꼼한 양치질이 중요합니다. 더불어 정기 치과검진을 통해 치아의 상태를 점검하면서 스케일링을 통해 구강 질환을 예방하는 것이 바람직합니다.

프라임치과에서는 매직코어 최소침습 임플란트 수술을 통해 어금니는 물론 앞니 역시 한 번의 수술로 기능성과 심미성을 높일 수 있습니다.
매직코어 임플란트는 지대주와 인공치근 부분이 일체형으로 형성되어 치조골 폭이 좁거나 상태가 좋지 않은 경우에도 골이식이나 골성형을 최소화하여 식립할 수 있는 최소침습용 임플란트 입니다. 매직코어는 식립 시 나사선 사이의 Interthread bone이 손상되지 않아 골 회복에 유리하고 최소침습으로 일반 임플란트 보다 골 유착이 유리합니다.

본원에서는 3D CT와 MEDIT i500, MDEITi700 구강 스캐너를 활용하여 환자분의 치조골 상태 및 안면 골격, 턱관절 및 해부학적 구조물의 위치 등을 정밀하게 파악 후 치료를 진행하고 있습니다.

보철물 제작 시에도 원내 자체 기공소를 운영하여 3D 디지털 보철 시스템을 통한 정밀 진단과 환자와 의사, 기공사의 원활한 소통으로 환자의 치아 상태를 직접 보며 개인별 1:1 맞춤 보철물 제작이 가능하므로 보철물의 만족도와 정밀도가 높고 모양과 색상 변경이 필요한 즉시 수정이 가능해 불편을 줄이고 신속하게 보철물 제작을 진행하고 있습니다.

프라임치과의 대표원장님은 보건복지부 인증 통합치의학 전문의로 풍부한 임상경험과 실력을 겸비한 의료진입니다. 치과에 내원하신 환자분들께 적합한 치료 계획과 목표를 안내드리고 있으며, 세밀한 검진 후 치료를 진행하고 있습니다.
치과에서 사용하는 모든 의료 기구는 1인 1기구 사용을 원칙으로 하여 개별 포장, 멸균 처리를 하고 있습니다. 진료실 체어에서 사용하는 정수 또한 별도 소독을 거쳐 내원하신 환자분들이 안심하고 진료받으실 수 있도록 최선을 다하고 있습니다. 방문하시는 분들께서 항상 만족하실 수 있는 진료를 위해 더욱 노력하는 프라임치과가 되겠습니다.
*모든 증례 사진은 의료법 제23조, 제 56조에 의거하여 환자분의 동의 하에 업로드가 진행되었습니다.
*치료 사진은 모두 본원에서 치료한 환자분의 사진입니다.
*치료 사진은 모두 동일인의 사진이며, 동일조건에서 촬영하였습니다.
*개인의 차이에 따라 시술 및 수술 후 부작용이 발생할 수 있으며, 의료진과 충분한 상담을 받으시기 바랍니다.