< >

전주신시가지치과 당일 임플란트 가능한 경우는?

전주신시가지치과 당일 임플란트 가능한 경우는? 최근에는 치료 시간을 단축하려는 수요가 높아지면서, 임플란트 치료를 빠르게 진행할 수 있는 ‘당일 임플란트’에 대한 관심이 크게 증가하고 있습니다. . 당일 임플란트는 발치와 임플란트 식립을 같은 날 마칠 수 있어 빠르고 간편한 치료법으로 주목받고 있습니다. . 하지만 모든 사람이 당일 임플란트를 받을 수 있는 것은 더보기…

완산구임플란트 입안에서 냄새가 나는거 같아요

완산구임플란트 냄새 입안에서 나는거 같아요 . 임플란트 치료 후 입에서 냄새가 나는 경우가 있습니다. . 이 현상은 단순 구취가 아닌 구강 건강의 이상 신호일 수 있으며, 방치하면 임플란트의 수명에도 영향을 줍니다. . 오늘은 완산구임플란트 냄새가 나는 원인과 예방 및 관리 방법을 알아보겠습니다. . 임플란트와 청결의 중요성 . 임플란트는 티타늄 인공 더보기…

전주신시가지치과 소중한 치아 건강을 위한 선택!

전주신시가지치과 소중한 치아 건강을 위한 선택! . 일상생활 중 예기치 못한 사고나 외상으로 치아에 손상이 생길 수 있는데요. . 자연치를 상실하면 발음이나 저작 기능 등에 영향을 줄 수 있으며, 개인에 따라 치아 배열의 변화가 발생할 수도 있습니다. . 자연치 보존이 가장 중요하며 상태에 따라 다양한 방법들이 고려될 수 있고 뿌리가 더보기…

전주신시가지치과 건강한 구강을 위해

전주신시가지치과 건강한 구강을 위해 . 구강 건강은 전신 건강에 큰 영향을 줍니다. . 우리의 치아는 음식을 섭취하고 소화하는 데 필수적인 역할을 하죠. . 하지만 생활 속에서 치아가 손상되거나 빠질 수 있는 상황은 종종 발생합니다. . 특히 치아 관리가 부족하면 충치나 잇몸 질환으로 이어져 결국 치아를 잃게 될 수 있습니다. . 더보기…

전주완산구치과 아플까봐 걱정된다면

전주완산구치과 아플까봐 걱정된다면 / . / 우리의 구강은 음식을 씹는 역할뿐 아니라 명확한 발음을 가능하게 하여 타인과 원활히 소통할 수 있게 해줍니다. . 이처럼 중요한 부위인 만큼/ 평소 관리가 필요하지만, 강한 외부 충격이나 사고로 인해 영구치를 잃는 경우가 생길 수 있습니다. . 치아가 빠지면 미관상 문제를 넘어 저작 기능 저하, 더보기…

전주신시가지치과 어디가 좋을까?

전주신시가지치과 어디가 좋을까? . 시간이 지나면서 외모에 변화가 생기는 것은 누구에게나 일어나는 자연스러운 현상입니다. . 건강을 잘 유지하면서 노화를 맞이할 수 있다면 이상적이겠지만 오랜 시간 몸을 사용하다 보면 여러 부위에 무리가 생기기 마련입니다. . 치아와 잇몸 또한 예외는 아니며 오랜 세월의 흔적이 누적되면서 점차 부담을 느끼게 됩니다. . 구강은 다른 더보기…

전주신시가지치과

전주신시가지치과 나에게 맞는 방법으로

전주신시가지치과 나에게 맞는 방법으로 . . 우리는 일상 속에서 예상치 못한 다양한 이유로 치아가 손상되는 상황을 종종 경험하게 됩니다. . 가벼운 손상이라면 짧은 시간 내에 치료가 가능하지만, 강한 외부 충격이나 사고 등으로 인해 치아가 제 역할을 하지 못하게 될 경우에는 결국 발치 후 인공치아를 통한 대체가 필요해질 수 있습니다. . 더보기…

전주완산구치과 치아의 기능을 회복해요!

전주완산구치과 치아의 기능을 회복해요! 구강 건강은 전신 건강과 깊은 연관이 있습니다.   치아는 우리가 일상적으로 음식을 섭취하는 데 필수적인 역할을 하기 때문에 매우 중요합니다.   하지만 일상생활에서 치아가 손상되거나 빠질 수 있습니다.   특히 치아 관리가 부족하다면 충치나 잇몸 질환이 발생할 수 있고, 결국에는 치아를 잃을 수도 있습니다.   이때 더보기…

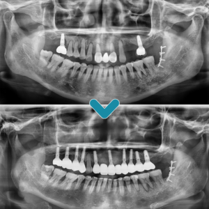
전주신시가지임플란트 꼼꼼하게 따져보고 결정해 주세요

전주신시가지임플란트 꼼꼼하게 따져보고 결정해 주세요 . 임플란트는 상실된 치아를 대신하기 위해 인공적으로 만든 치아 뿌리를 턱뼈에 심어, 그 위에 보철물을 올려 자연치아와 유사한 기능을 회복시켜주는 치료법입니다. . 치아가 빠지면 저작 기능 저하, 발음 문제, 인접 치아의 이동 등 여러 가지 문제가 발생할 수 있습니다. . 임플란트는 이러한 문제를 해결하며 심미성까지 더보기…

전주신시가지치과 건강한 구강의 완성은

전주신시가지치과 건강한 구강의 완성은 , 고령화 시대를 맞이하게 되면서 신체 여러 곳곳에 문제가 발생하는 경우가 많습니다. , 성인의 경우 보통 자연치는 28개 전후로 구강 관리를 적절하게 하지 않고 치아와 잇몸에 문제가 생기면 결국 상실되기 쉬운데요. , 치아는 저작활동뿐만 아니라 심미성 또한 중요하기 때문에 빈 공간을 빠르게 메꿔주는 것이 좋으며 , 더보기…

문의 전화

063-277-2275

네이버 예약

네이버 예약