전주신시가지치과 자연치아를 살리는 의도적재식술
충치나 구강질환으로 인해 치아건강에 이상이 생기면 빠른 치료가 중요합니다. 원인과 상태에 따라 치료 방법은 달라질 수 있는데요, 자연치아를 살리기 위해 치료를 했으나 결국은 발치를 해야 하는 상황이 발생할 수 있습니다.
근래에는 임플란트의 기술이 발전하고 대중화되어 자연치를 발치해야 하는 상황일지라도 대부분 임플란트 식립을 통해 기능과 외형을 회복할 수 있지만, 프라임에서는 자연치아를 보존할 수 있는 가능성이 조금이라도 있을 경우 의도적 재식술을 진행하고 있습니다.
오늘은 전주신시가지치과 프라임의 의도적재식술 사례를 소개해 드리겠습니다.

위 분은 2013년 항암치료 후 내원하셨는데요, 어금니가 아미 많이 상해 치아가 녹고 파인 상태였습니다. 발치 후 임플란트가 필요한 상황이었지만 여러 번의 권유에도 임플란트에 대한 거부감이 심해, 임플란트 치료가 불가능하였습니다.
하지만 틀니를 해야 할 정도로 이가 없지는 않아 재신경치료 후 36번 치아를 살려볼 계획을 세웠습니다.

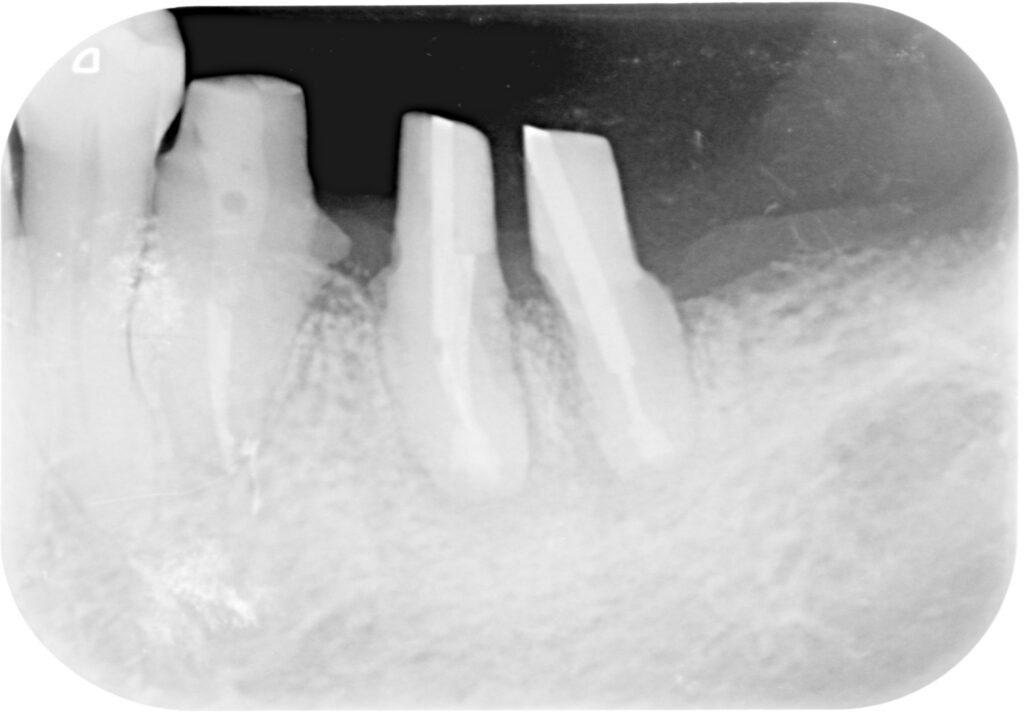
재신경치료는 치아의 뿌리까지 연결 통로를 관통시켜주는 것이 중요한데, 현재 상황에서 불가능하여 뿌리 끝의 염증을 제거하기 위해 의도적재식술을 시행하였습니다. 시행 중 치아 뿌리가 분리되면서 큰 어금니 한 개가 작은 어금니 두개로 분리되었습니다.

맨 뒤 사랑니는 제거한 상태입니다. 자연치를 살리기 위한 방법으로는 재근관치료, 치근단 절제술, 의도적재식술, 치근 분리술, 치관 확장술, 포스트&코어가 있는데요, 하나의 치아를 위해 상기 치료가 모두 적용되었습니다.
어떻게 보면 임플란트를 식립하는 것이 당연하지만 프라임치과는 환.자분의 입장에서 이해하려는 마음을 기본 중의 기본으로 생각하고 있습니다. 그렇기에 필요한 치료를 진행하기 앞서 충분한 설명과 소통을 진행하고 있으며, 결정을 존중하고 있습니다.

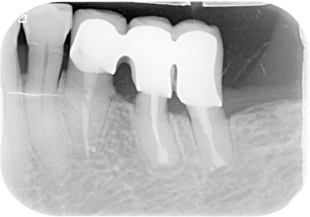
크라운 수복 후 촬영한 사진입니다. 의도적재식술은 치아를 뽑아 치아 뿌리에 염증 조직을 제거하고, 뿌리 끝을 충전재로 폐쇄시킨 뒤 다시 심는 수술입니다.
자연치아를 그대로 사용하여 손실된 뼈가 새로 생기게 하고 조직 재.생도 유도할 수 있다는 점에서 매우 인체 친화적인 치료법입니다. 이 과정에서 가장 중요한 것은 치근막입니다. 치근막이란 치아를 싸고 있는 막으로 치아를 뼈에 부착해 주는 역할을 합니다. 때문에 치아를 발치한 뒤 다시 심어야 한다면 치근막이 유지되도록 하는 것이 중요합니다.

수술 후 9년이 지난 2022년 사진입니다. 뿌리에 염증이 억고, 치아 역시 제 기능을 할 수 있는 양호한 상태였습니다.

전주신시가지치과 프라임의 디지털 진료 시스템
전주신시가지치과 프라임치과에서는 치아와 구강 건강을 전반적으로, 정밀하게 파악하기 위해 디지털 진료 시스템을 도입하여 내원하신 분들의 편안한 진료를 도와드리고 있습니다.
사용중인 3D CT와 MEDIT i500, MDEITi700 구강 스캐너를 활용하여 치조골 상태 및 안면 골격, 턱관절 및 해부학적 구조물의 위치 등을 정밀하게 파악하여 3차원 분석이 가능하며 짧은 촬영 시간, 저선량, 고해상도, 큰 화질 4가지를 객관적인 시선으로 볼 수 있는 CT 촬영 장비입니다.

원내 자체 기공소 운영
전주신시가지치과 프라임에서는 보철물 제작 시에도3D 디지털 보철 시스템으로, 원내 자체 기공소를 운영하여 정밀 검진을 바탕으로 보철물을 신속하고 정밀하게 제작하여 치료 기간은 줄이고 만.족도는 높일 수 있는 1:1 맞춤 보철물 제작을 진행하고 있습니다.
자체 기공소를 통해 환.자, 의료진 그리고 기공사의 원활한 소통으로 개인별 1:1 맞춤 보철물 제작이 가능하며, 신속한 보철물 제작으로 치료 기간이 단축됩니다. 또한 치아 상태를 직접 보며 제작하므로 정밀도가 높고, 모양과 색상 변경이 필요할 시 즉시 수정이 가능해 불편을 줄일 수 있습니다.

프라임치과의 대표원장님은 보건복지부 인증 통합치의학 전문의로 풍부한 임상경험과 실력을 겸비한 의료진입니다. 치과에 내원하신 분들께 적합한 치료 계획과 목표를 안내드리고 있으며, 세밀한 검진 후 치료를 진행하고 있습니다.
치과에서 사용하는 모든 의료 기구는 1인 1기구 사용을 원칙으로 하여 개별 포장, 멸균 처리를 하고 있습니다. 진료실 체어에서 사용하는 정수 또한 별도 소독을 거쳐 내원하신 분들이 안심하고 진료받으실 수 있도록 최선을 다하고 있습니다.
방문하시는 분들께서 항상 만.족하실 수 있는 진료를 위해 더욱 노력하는 프라임치과가 되겠습니다.
*모든 증례 사진은 의료법 제23조, 제 56조에 의거하여 환자분의 동의 하에 업로드가 진행되었습니다.
*치료 사진은 모두 본원에서 치료한 환자분의 사진입니다.
*치료 사진은 모두 동일인의 사진이며, 동일조건에서 촬영하였습니다.
*개인의 차이에 따라 시술 및 수술 후 부작용이 발생할 수 있으며, 의료진과 충분한 상담을 받으시기 바랍니다.